Home
|
Gallery
|
Inquiry
|
Contact Us
|
Blog
|
Feedback
Health Packages
Book an Appointment
Online Report
Toggle navigation
Home
About Us
About Us
Corporate Tie-Ups
Case Study
Our Team
Infrastructure
Services
3d/4d Sonography
Digital Radiography
CT Scan
BMD Lab
Neuro Lab
Uroflowmetry
Fully Automated Lab
Ambulance Services
Mammography
MRI Lab
Health Packages
Career
Locations
Main Centre, Udaipur
Old Centre, Udaipur
Banswara
Dungarpur
Sector 6, Hiranmagri
Sector 14, Hiranmagri
Chittorgarh
Bhilwara
Kota
Partner with us
Gallery
Book An Appointment
Contact Us
Call Us
+91-76650-00234
CASE STUDIES
Cell block preparation pleural fluid
Diagnosis- Metastatic squamous cell carcinoma
Read More
Parasite Enterobius vermicularis in appendix
Read More
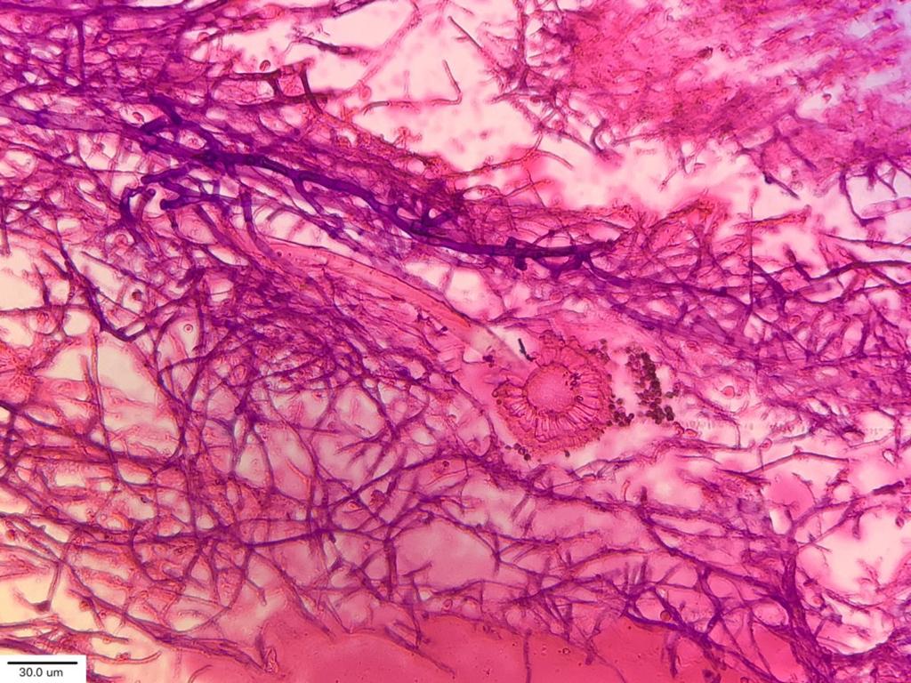
Post COVID cases of fungal infections
Aspergillosis Lymphnode
Read More
Post COVID cases of fungal infections
Oral mucormycosis
Read More
Post COVID cases of fungal infections
Gluteal region mucormycosis
Read More
Post COVID cases of fungal infections
Mucormycosis scalp
Read More
Page 2 of 4
«
1
2
3
4
»
Book an Appointment with us !
The perfect match for your medical tests.
Book Now