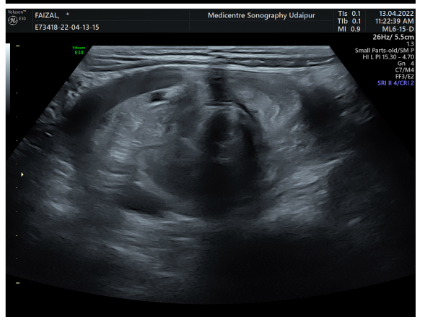
2 YEAR MALE CHILD PRESENTED WITH ACUTE VOMITING

2 YEAR MALE CHILD PRESENTED WITH ACUTE VOMITING FROM 4 DAYS DIAGNOSED WITH PROXIMAL INTESTINAL MALROTATION WITH REVERSAL OF SMA-SMV AXIS ON ROUTINE USG OF ABDOMEN CONFRIMED ON COLOUR DOPPLER

Book an Appointment with us !

The perfect match for your medical tests.

Book Now